Comunicación

ACRIFLAVINE, A POTENT INHIBITOR OF HIF-1 DIMERIZATION, DECREASES MITF EXPRESSION AND INDUCES APOPTOSIS IN MELANOMA CELLS

Autores:

Román Martí Díaz1, MARIA FERNANDA MONTENEGRO ARCE2, JUAN CABEZAS HERRERA3, JOSE NEPTUNO RODRIGUEZ LOPEZ3, Luis Sánchez del Campo Ferrer1

Afiliaciones:

(1) Departamento de Bioquímica y Biología Molecular A. Universidad de Murcia, 30100, España (Región de Murcia)
(2) NEUROPATOLOGÍAS DEL SISTEMA COLINÉRGICO, IMIB-Arrixaca, España
(3) TERAPIAS MOLECULARES Y BIOMARCADORES DE TUMORES SÓLIDOS, IMIB-Arrixaca, España

Comunicación:

Antecedentes:

Melanocytes and melanoma cells respond to metabolic/oxidative stress by activating prosurvival pathways such as PI3K/Akt, CREB and NFkB that ultimately lead to the expression of prosurvival proteins such as Bcl2 and MITF. Thus, MITF was shown to bind directly to the HIF-1α promoter, to induce its expression and to lead to a HIF-dependent prosurvival effect on melanocytes. Interestingly, it has been demonstrated that HIF activity is increased in malignant melanoma cells under normoxic conditions in contrast to other tumor types and that increased HIF-1α expression under normoxic conditions contributes to some of the malignant phenotypes exhibited by human melanoma cells. Therefore, development of new therapeutic agents that inhibit HIF-1α function may be of use in the treatment of human melanoma regardless of the hypoxic condition of the tumor.

Métodos:

The expression of MITF in the presence of acriflavine (ACF) was examined by RT-PCR, Western blot, and confocal microscopy. Apoptosis and cell cycle analysis in melanoma cells were determined using appropriate methods.

Resultados:

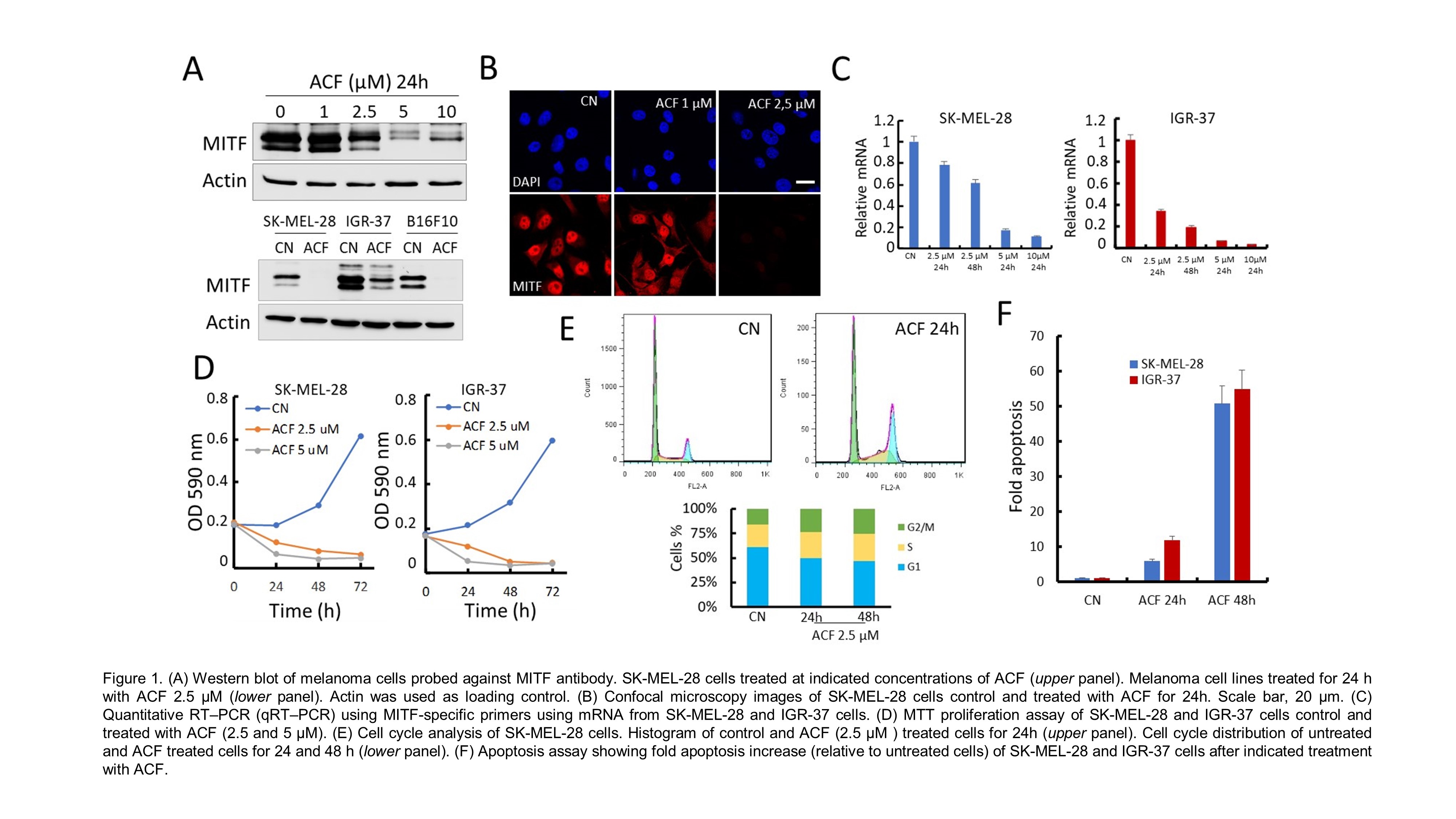
Since HIF-1α has been found to contribute to the survival of melanoma cells under oxidative stress, in this study, we evaluate the effect of ACF, a potent inhibitor of HIF-1 dimerization, on the growth and viability of melanoma cells. Accumulating evidences suggest that a key determinant of melanoma phenotype is the expression and activity of the microphthalmia-associated transcription factor MITF. MITF represents a major coordinator of melanoma cell biology. Therefore, we first evaluate the expression of MITF in the presence of ACF. As observed in Fig. 1, MITF protein levels were regulated in a dose dependent manner by ACF in several melanoma cell lines as demonstrated by Western blot and confocal microscopy. Whether ACF regulates MITF at the transcriptional level was also evaluated by RT-PCR. Since MITF promotes survival, differentiation and proliferation of melanoma, we next examined the consequences of the ACF-dependent decrease of MITF on the growth and viability of melanoma cells. Here, we observed that ACF blocked cell growth in melanoma cells. Analysis of individual phases of the cell cycle indicated that ACF induces a substantial increase in the number of cells in the phases S/G2 and a decrease in the portions of cells in G1-phase in the assayed melanoma cell lines (Fig. 1). Indeed, we observed that this blockage of cell growth was also accompanied by a substantial increase in melanoma apoptosis (Fig. 1).

Conclusiones:

Since the activity of ACF on melanoma cells has not been assayed in detail to date, here we examined the effect of this drug on the metabolism and progression of melanoma under normoxic expression of HIF-1α. We observed that by inhibiting HIF-1α dimerization, melanoma cells were highly susceptible to cell death, which confirm the protective role of this hypoxia-inducible factor in the survival of melanoma under non-hypoxic conditions.


Image 1

Dirección

Campus de Ciencias de la Salud
Carretera Buenavista s/n, 30120 El Palmar
Murcia, España

Ver en OpenStreetMap

Ver en Google Maps

Teléfonos

+34 868885229
+34 868885239
+34 868885249